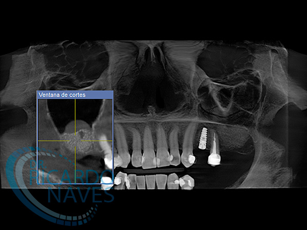
Elevación de seno maxilar técnica de ventana lateral.

Antes y después de elevación de seno bilateral. 5 meses de evolución. Obsérvese la cantidad de hueso que podemos ganar  en estas verdaderas cajas biológicas.